お知らせ
副鼻腔炎・蓄膿症の漢方治療
「西漢方薬店 漢方チャンネル」に「副鼻腔炎・蓄膿症の漢方治療」を公開しました!
慢性副鼻腔炎(蓄膿症)は体質から治す──漢方で根本改善を目指す選択肢
年間1000万人以上が悩まされている慢性副鼻腔炎(蓄膿症)。
「鼻がずっと詰まっている」「匂いがわからない」「喉に鼻水が流れて咳が出る」
こうしたつらい症状に、漢方薬が根本的な改善の鍵になることをご存知でしょうか。

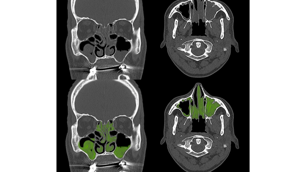
副鼻腔炎・蓄膿症とは?
副鼻腔炎とは、鼻の奥にある「副鼻腔」に炎症が起こる疾患です。
この副鼻腔に膿がたまり続ける状態を「蓄膿症」と呼びます。
主な原因は以下の通り:
- 風邪やインフルエンザ後の感染
- 花粉症やアレルギー性鼻炎
- 虫歯などの口腔感染
- 近年は真菌や好酸球性炎症なども増加中

主な症状
- 鼻詰まり
- 粘り気のある鼻汁(黄色・緑色)
- 匂いがわからない(嗅覚障害)
- 後鼻漏(鼻水が喉に流れる)
- 咳・喉の違和感・慢性扁桃炎・頭重感・睡眠の質低下
特に「後鼻漏(こうびろう)」は、咳が止まらない・声が枯れるといった二次的な症状を引き起こします。

なぜ漢方が効果的なのか?
漢方では、副鼻腔炎の根本にある体内の水分循環の停滞や熱のこもり、免疫バランスの乱れを調整します。
単なる炎症の抑制にとどまらず、「膿を出す」「粘膜を修復する」「体質を整える」ことを目的としています。
西漢方薬店での治療では:
- 炎症を抑える漢方薬
- 膿を排出させる漢方薬
- 鼻茸(はなたけ)を改善する処方
- 粘膜を強化し再発を防ぐ体質改善薬
これらを症状・体質・季節に応じて組み合わせていきます。

実際の症例紹介
何年も副鼻腔炎に苦しんでいた方が、病院での治療に限界を感じて来店。
西漢方薬店の漢方治療を開始し、
- 2ヶ月で鼻詰まりと咳が改善
- 6ヶ月後には寒い季節でも症状が出なくなり、再発も防止
このように、西洋医学で改善が見られなかったケースでも、体質から整える漢方治療が効果を発揮することがあります。

再発を繰り返す方こそ「体質改善」を
副鼻腔炎は慢性化しやすく、手術をしても再発することがあります。
そのため、**一時的な対処だけでなく「再発しにくい体づくり」**を考えることが大切です。
まずはご相談から
漢方薬は、体質に合って、はじめて効果を発揮します。
「病院の薬で良くならない」「何度も繰り返してしまう」
そんなお悩みをお持ちの方は、ぜひ一度、漢方の専門家にご相談ください。
📩 西漢方薬店では、オンラインでの漢方相談も行っております。
お気軽にお問合せください。

この記事を書いた人

西漢方薬店 漢方処方アドバイザー
西 智彦(臨床歴20年)
鍼灸師、マッサージ師の国家資格と医薬品登録販売者の資格を持ち、学術発表症例発表実績として第24回経絡治療学会学術大会東京大会『肝虚寒証の症例腰痛症』等、また伝統漢方研究会会員論文集の学術論文からメディア取材まで幅広い実績もあります。
どうぞお一人で悩まずに、気軽にご相談ください。


